Piedras en la Vesícula, prueba de Boyden

En este artículo, vamos a explorar de manera exhaustiva el fenómeno de las piedras en la vesícula y el papel crucial que desempeña la prueba de Boyden como método diagnóstico. Nos enfocaremos en qué son los cálculos biliares, sus síntomas característicos, cómo prevenir su formación y los beneficios que propone la prueba de Boyden, así […]
Tomografía para Detectar Cáncer: Precisión en Querétaro

En Altaria, entendemos la importancia de una detección temprana para el diagnóstico de cáncer. Nuestra tecnología de tomografía avanzada nos permite ofrecer un enfoque integral y preciso en la obtención de imágenes médicas. Sabemos que la salud de nuestros pacientes es primordial, por lo que garantizamos rapidez y confiabilidad en nuestros servicios de tomografía para […]
Tomografía y Resonancia: Servicios en Altaria, Querétaro

En Altaria, nos dedicamos a ofrecer un enfoque integral para el diagnóstico médico a través de nuestros servicios de tomografía y resonancia. Nuestro compromiso con la excelencia se refleja en la atención de calidad y en el uso de tecnología avanzada, lo que garantiza precisión y rapidez en la obtención de imágenes médicas. Desde nuestra […]
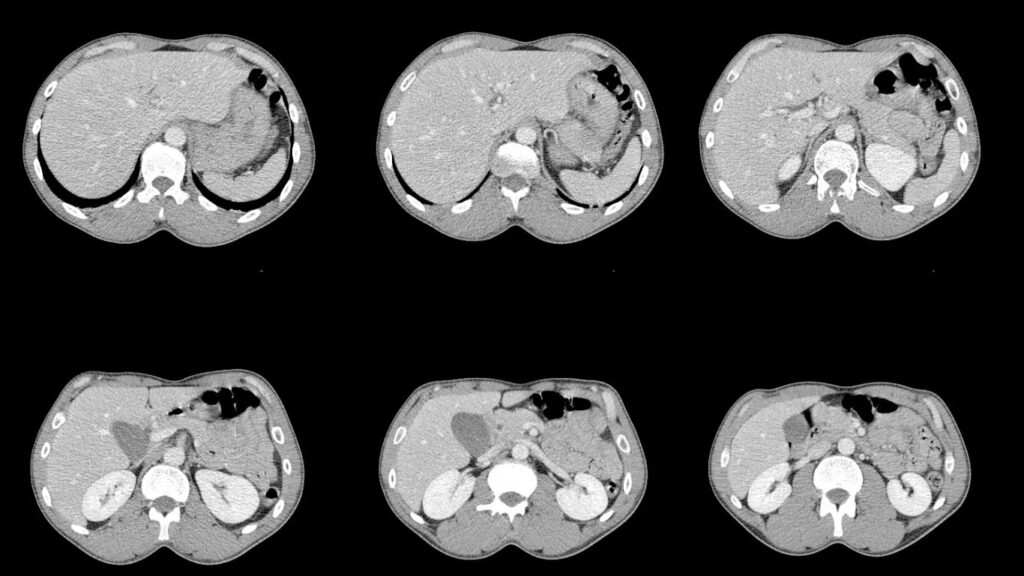
Tomografías Precisas y Rápidas en Querétaro

En Altaria, estamos comprometidos con ofrecer tomografías modernas y eficaces que facilitan diagnósticos médicos precisos y claros. Nuestras tomografías en Querétaro son reconocidas por su rapidez y calidad, permitiendo así a los profesionales de la salud tomar decisiones informadas que benefician a los pacientes. Al ser parte de un avance significativo en el ámbito de […]
Ultrasonidos Músculoesqueléticos en Querétaro

En Altaria, nos enfocamos en ofrecer los mejores servicios de ultrasonidos músculoesqueléticos en Querétaro. Gracias a nuestra tecnología de ultrasonido avanzada, podemos realizar diagnósticos por ultrasonido altamente precisos para identificar lesiones musculares y articulares. Nuestro objetivo es proporcionar imágenes médicas músculoesqueléticas que ayuden a los profesionales de la salud a evaluar y tratar adecuadamente las afecciones […]
Ultrasonidos Convencionales en Altaria Querétaro

En Altaria Querétaro, ofrecemos una atención excepcional en el ámbito de los ultrasonidos convencionales. Nuestro enfoque se centra en proporcionar servicios de diagnóstico de alta calidad que priorizan la salud y bienestar de nuestros pacientes. Los ultrasonidos convencionales son herramientas clave que utilizamos para lograr un diagnóstico preciso y confiable de diversas condiciones médicas. Mediante […]
Radiografías en Querétaro – Precisión y Rapidez en Altaria

En Altaria, estamos comprometidos a ofrecer un servicio de Radiografías en Querétaro que se destaca por su velocidad y precisión en el diagnóstico médico. Utilizamos tecnología de vanguardia para garantizar que obtenemos imágenes de alta calidad, lo que permite un análisis detallado para una atención adecuada. Además, nuestra digitalización acelera el proceso, asegurando que los resultados […]
Ecografías Obstétricas: Cuidado y Precisión en Querétaro

En Altaria, nos dedicamos a proporcionar una atención excepcional en ecografías obstétricas, centrada en el bienestar de la madre y el bebé. Nuestro equipo cuenta con una sólida formación en medicina materno-fetal, lo que nos permite ofrecer un seguimiento detallado durante el embarazo. Utilizamos tecnología de última generación en nuestro centro de ecografías, garantizando precisión […]
Mastografía Digital – Detección Temprana en Querétaro

La mastografía digital es una herramienta fundamental para la detección temprana del cáncer de mama, una enfermedad que afecta a muchas mujeres en México. En Querétaro, ofrecemos servicios de mastografía digital de alta calidad en Altaria, una compañía dedicada a la salud mamaria. Esta técnica avanzada permite realizar diagnósticos mamarios más precisos y confiables, mejorando las tasas de tratamiento exitoso. La importancia de la detección temprana del cáncer de mama no puede ser subestimada, ya que los estudios indican que la identificación oportuna del cáncer de mama puede salvar vidas. Aspectos Clave La mastografía digital es crucial para la detección temprana del cáncer de mama. Los servicios en Querétaro son de alta calidad y precisión. Altaria se enfoca en brindar diagnósticos mamarios confiables. La identificación oportuna del cáncer puede salvar vidas. La prevención del cáncer de mama es vital para la salud de las mujeres. Tecnología Avanzada en Querétaro En el ámbito del diagnóstico mamario, la mamografía digital se ha convertido en una herramienta fundamental, gracias a la tecnología avanzada que empleamos en nuestras instalaciones de calidad. Esta innovación permite a nuestros especialistas obtener imágenes de alta definición, facilitando la detección temprana de posibles irregularidades. Cómo la tecnología está revolucionando el diagnóstico mamario Los avances tecnológicos han transformado la manera en que realizamos el diagnóstico mamario. La mamografía digital ofrece comparación instantánea de imágenes, lo que mejora la precisión de los resultados y reduce el tiempo de espera para las pacientes. Es un cambio significativo en la forma de abordar la salud mamaria, permitiendo un monitoreo más efectivo. Instalaciones de vanguardia en Altaria En Altaria Imagen Diagnóstica, nos enorgullecemos de contar con instalaciones de calidad equipadas con la última tecnología. Nuestro compromiso es brindar un entorno cómodo y seguro, donde cada paciente pueda sentir confianza durante su examen. Creamos un espacio que prioriza la salud y el bienestar de las mujeres en Querétaro. Mastografía Digital: Ventajas sobre la Mamografía Convencional La mastografía digital se presenta como una opción superior en comparación con la mamografía convencional. Entre las principales ventajas de la mamografía digital se destaca la notable calidad de imagen, que permite a los radiólogos detectar lesiones con mayor precisión. Esta mejora en la calidad no solo facilita el diagnóstico mamario, sino que también incrementa la confianza en las decisiones que se tomen a partir de estas imágenes. Calidad de imagen y precisión en el diagnóstico Gracias a la tecnología digital, las imágenes obtenidas son más nítidas y detalladas, lo que significa que se pueden identificar anomalías en etapas más tempranas. Esta capacidad de análisis exhaustivo es fundamental para un diagnóstico mamario efectivo, ya que cada detalle puede marcar la diferencia en el tratamiento oportuno. Reducción en la exposición a la radiación Otro aspecto crucial de la mastografía digital es la reducción en la exposición a la radiación. Este avance tecnológico no solo protege la salud de nuestras pacientes, sino que también proporciona un examen más seguro y cómodo. Al disminuir la dosis de radiación, podemos sentirnos más tranquilos al realizar el procedimiento, asegurando así un enfoque más responsable y ético en la atención médica. ¿Qué es la Mastografía Digital? La definición de mastografía digital se refiere a una técnica avanzada de imagenología que utiliza tecnología digital para realizar radiografías mamarias. Este método mejora significativamente el funcionamiento de la mamografía, permitiendo capturar imágenes de alta definición que facilitan un diagnóstico preciso de posibles anomalías en el tejido mamario. Definición y funcionamiento de la técnica La mastografía digital emplea detectores electrónicos en lugar de películas convencionales, lo cual proporciona imágenes más nítidas. Este proceso de digitalización no solo optimiza la calidad, sino que también permite un análisis más eficaz por parte de los especialistas. La capacidad de ajustar el contraste y el brillo en las imágenes ofrece un gran beneficio en la detección de condiciones como el cáncer de mama en sus etapas más tempranas. Diferencias clave con técnicas tradicionales Comparando con las técnicas tradicionales, la mamografía digital ofrece ventajas significativas. Mientras que las mamografías convencionales pueden presentar limitaciones en la visibilidad de ciertas áreas, la tecnología digital destaca estructuras más complejas del tejido mamario. Esta diferencia se traduce en una mayor tasa de detección de irregularidades, asegurando que las pacientes reciban el seguimiento adecuado en caso de ser necesario. Proceso de la Mastografía Digital El proceso de mastografía digital es esencial para garantizar un diagnóstico mamario preciso. Iniciamos este procedimiento con una serie de pasos del examen diseñados para maximizar la calidad de las imágenes obtenidas. Cada fase es crítica para asegurar que las mamografías proporcionen la información necesaria para la detección temprana de cualquier anomalía. Pasos a seguir durante el examen Durante la mastografía, la paciente se coloca frente a un equipo especializado que realiza una compresión suave de la mama. Este método ayuda a obtener imágenes claras y detalladas. Generalmente, el tiempo total del examen no supera los 30 minutos, lo que permite un proceso eficiente y rápido. Esta experiencia es confortable y controlada por personal capacitado que guía en cada etapa. Preparación antes de la mamografía La preparación para mamografía juega un papel crucial en el éxito del examen. Se sugiere evitar el uso de lociones, cremas o desodorantes el día de la mamografía. Este consejo es importante, ya que algunos productos pueden interferir con la visualización de las imágenes. También se recomienda programar la mamografía para después del ciclo menstrual, lo cual aumenta la comodidad durante el procedimiento. Importancia de la Detección Temprana del Cáncer de Mama La detección temprana del cáncer de mama es fundamental para combatir esta enfermedad que afecta a tantas mujeres en nuestro país. En México, la estadística es alarmante, ya que 1 de cada 8 mujeres desarrollará esta enfermedad a lo largo de su vida. Esto resalta la necesidad de concientizarnos sobre la salud mamaria y la importancia de las revisiones regulares. La implementación de tecnologías como la mastografía digital ha transformado la manera en que detectamos y tratamos esta enfermedad. Datos sobre la incidencia del cáncer de mama en México Según estudios recientes, la incidencia del cáncer de mama ha mostrado un aumento significativo en México. Las cifras revelan que aproximadamente 22,000 nuevos casos son diagnosticados cada año. Esta realidad exige un enfoque adecuado en la prevención y la salud mamaria. Identificar los síntomas y realizar revisiones periódicas es vital en la lucha contra esta enfermedad. Cómo la detección temprana puede salvar vidas Las prácticas de detección temprana permiten identificar lesiones en etapas iniciales, aumentando drásticamente las posibilidades de un tratamiento exitoso. Al detectar el cáncer de mama a tiempo, más del 90% de los casos tienden a tener un pronóstico positivo. La educación en la salud mamaria y la adopción de hábitos preventivos resultan esenciales para disminuir la mortalidad y mejorar la calidad de vida de las pacientes. Juntos, debemos promover la importancia de las revisiones y la detección temprana como herramientas clave para salvar vidas. Quiénes Deben Realizarse la Mastografía Digital La salud femenina es esencial y cada mujer debe ser consciente de la importancia de la detección temprana. Las recomendaciones de mamografía son claras: todas las mujeres a partir de los 40 años deberían considerar realizarse mastografías digitales anualmente. Esta práctica se convierte en una herramienta crucial para prevenir el cáncer de mama, especialmente en ciertos grupos de edad. Recomendaciones para diferentes grupos de edad Según las guías de salud, es fundamental adaptar las recomendaciones de mamografía a los grupos de edad. Las mujeres jóvenes, en sus 20s y 30s, deben priorizar la autoexploración y mantenerse informadas sobre sus cuerpos. A partir de los 40 años, la mamografía anual se vuelve vital. Para aquellas con antecedentes familiares de cáncer, el seguimiento puede ser necesario antes de esta edad. Consultar con un especialista nos ayudará a establecer el mejor plan según nuestra etapa de vida. Factores de riesgo que indican la necesidad de estudios Los factores de riesgo juegan un papel determinante en la necesidad de realizarse estudios adicionales. Mujeres con antecedentes familiares, condiciones genéticas o antecedentes médicos significativos deben ser especialmente proactivas. _El diálogo constante con nuestros médicos_ permitirá determinar si se necesita un enfoque más intensivo para la salud femenina. Mantener un control adecuado y programar mamografías a tiempo es una medida esencial en nuestra salud. Resultados y Seguimiento de la Mastografía Digital La interpretación de los resultados de la mastografía digital es un paso fundamental en el proceso de diagnóstico mamario. Los radiólogos especializados llevan a cabo un análisis exhaustivo y generan un informe que se comparte tanto con la paciente como con su médico tratante. Este informe ofrece información detallada sobre el estado de la salud mamaria y, en caso de ser necesario, indica la importancia de un seguimiento adecuado. Interpretación de los resultados por especialistas La correcta interpretación de los resultados permite identificar cualquier anomalía que pueda requerir atención adicional. Es fundamental entender cada aspecto del informe, ya que de ello dependerá el camino a seguir. Sugerimos que la paciente programe una consulta médica para discutir los hallazgos y las recomendaciones pertinentes, lo cual facilitará la toma de decisiones informadas. Qué hacer después de recibir los resultados Después de recibir los resultados, es esencial mantener un seguimiento constante. En algunos casos, puede ser recomendable realizar estudios adicionales o realizar mamografías de control en un tiempo determinado. Estar en contacto regular con el médico tratante garantiza que continuemos evaluando nuestra salud mamaria y tomando decisiones adecuadas a partir de la información obtenida. Precio de la Mastografía Digital en Querétaro Entender el precio de la mastografía digital es esencial para tomar una decisión informada acerca de nuestra salud. En Querétaro, el costo en Querétaro puede variar, pero en general, se encuentra dentro de un rango accesible gracias a las distintas opciones de financiamiento que ofrecemos. Creemos que la detección temprana debe ser un derecho al alcance de todos. Costo promedio y opciones de financiamiento El precio de la mastografía digital en centros de calidad como Altaria Imagen Diagnóstica ofrece tarifas competitivas, facilitando el acceso a esta importante prueba. Ofrecemos opciones de financiamiento flexibles que permiten que más mujeres se realicen su mastografía sin preocupaciones económicas. Este compromiso busca promover la detección temprana del cáncer de mama en un contexto donde la salud es prioridad. Importancia de elegir centros de calidad y su impacto en el costo Elegir centros de calidad impacta significativamente en el costo en Querétaro y en la precisión de los resultados. Al decantarse por instalaciones reconocidas, se asegura no solo un examen de alta calidad, sino también un seguimiento profesional en caso de ser necesario. Esto brinda tranquilidad a las pacientes y garantiza que su inversión en salud tenga un retorno significativo en su bienestar. […]
Ultrasonidos y Rayos X en Querétaro: Altaria Tu mejor opción

En Altaria, nos enorgullecemos de ser líderes en la provisión de ultrasonidos y rayos X en Querétaro. Nuestra clínica de radiología en Querétaro está diseñada para ofrecer servicios de diagnóstico por imagen de la más alta calidad. Con tecnología de vanguardia, nos enfocamos en facilitar diagnósticos precisos y confiables para nuestros pacientes. Cada interacción está […]
